首页 医疗技术 医疗技术 详细

43岁二胎孕妈突然大呕血 北大深圳医院多学科团队生命接力

发布时间:2025.11.12

近日,一名43岁的高龄二胎孕妇因支气管扩张突发大咯血,两条生命陷入危险。在北京大学深圳医院(以下简称“北大深圳医院”)胸外科、急诊科、产科、ICU、麻醉科、手术室等多学科团队精准配合、高效协作下,历经3小时手术,最终母婴转危为安。

 

高龄孕妇咳嗽多年25周突发呕血

 

今年初,43岁的林棱化名意外怀上了二胎虽然是高龄怀孕,但整个孕早期,她没有明显孕反,甚至觉得“和没怀孕时差不多”。

直到818日傍晚,林棱胸口突然涌上一阵窒息般的闷堵她下意识冲向洗手间,“扑哧”一口鲜红的血,直直喷在米白色瓷砖上还带有暗紫色血块

“我老公从客厅赶来,看着洗手池的血,人都吓傻了。”回忆起那个傍晚,林棱仍心有余悸,“我不敢低头,怕血块堵在喉咙里。”这不是她第一次咳血,却是最恐怖的一次。

17年前25林棱一次普通感冒过后,咳嗽总好不了,去医院检查后被确诊为支气管扩张这是一种由肺部感染或炎症导致支气管结构破坏、反复出现咳嗽、咳痰甚至咯血的慢性疾病。起初症状轻微,她没太在意。

2020一次重感冒袭来,第一口血突然咳出,“当时量不多,像痰一样,七八口就停了”。她慌慌张张去了医院,医生看着检查结果皱着眉,“不排除肺癌或肺结核,得进一步检查。”

后来在专科医院做了痰培养,她拿到明确诊断——非结核分支杆菌感染。接下来,她遵医嘱服药,咳血症状有所缓解。可停药后,麻烦又找上门每年总会复发两三次,每次就几口血。医生曾建议她做开胸手术,切除病变的肺叶。

一想到要在胸口划十几公分的口子,术后要躺一个月,她觉得偶尔咳血比手术安全不知这颗炸弹,会在怀孕后被悄悄点燃

 

 

孕妇咯血超 800ml,辗转多家医院直送ICU

 

“这次不是一点点渗血,是喷射状的,一口接一口呕”看着妻子脸色越来越苍白,丈夫立即开车赶到离家最近的几家医院。医生们看到林棱的情况,估算咯血总量已超800ml

“太危险了,我们处理不了,得转上级医院”。按照医院分级处理原则,林棱被救护车紧急转往北大深圳医院。

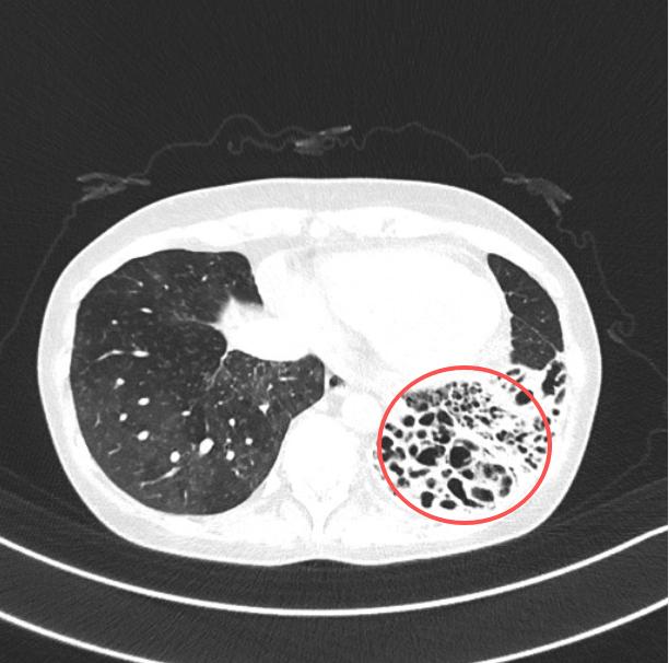
被推进北大深圳医院急诊大厅时,急诊科立即启动急危重症孕产妇绿色通道,值班急诊医生快速评估患者的血压已接近休克阈值,心率100/分,血氧饱和度95%CT显示左下肺、左上肺舌段、右中肺支气管扩张。

“直接送 ICU!”急诊团队当机立断。随后,ICU团队紧急抢救后,林棱生命体征稳定了下来

尽管林棱咯血的症状得到缓解,但随时有可能再次大咯血,可能因窒息或失血性休克,危及生命。

北京大学深圳医院胸外科主任刘继先接到会诊电话后立即赶到ICU,第一时间组织急诊科、产科、麻醉科、ICU、输血科进行多学科讨论。

“支气管扩张大咯血的传统治疗是药物止血或支气管动脉栓塞,但患者病灶范围广、出血速度快,栓塞可能无法完全覆盖;而手术切除病变肺叶是最彻底的止血方式,但孕 25 周手术,麻醉和术后用药风险都高,得制定最稳妥的方案。”根据孕妇的病情,多学科团队讨论了两种治疗方案。

对于一名怀孕25周的孕妇来说,手术不是一件容易的事。会诊现场,多学科医生们反复讨论手术风险一方面孕妇持续咯血会导致母体缺氧、凝血功能障碍,威胁胎儿安全另一方面手术的话,麻醉、手术创伤、术后用药都可能影响胎儿

如何才能最大程度降低手术的风险呢?北京大学深圳医院麻醉科主任罗涛提出了降低风险的麻醉方式,“可以用低潮气量高频通气,精准控制麻醉深度,避免子宫压迫血管。

北京大学深圳医院产科主任马开东也分析道,“我们有成熟的孕产妇麻醉团队和围手术期管理经验,全程监测胎心,输血科备好血,必须抓住黄金救治期——现在手术,是患者唯一的生机

“看到那么多医生围着我,在想方设法降低手术风险,我反而不那么怕了。”林棱说。要知道,一开始手术方案就遭到了的拒绝,“我想保守治疗,等孩子生下来再做手术”。

马开东的一句话也让她彻底清醒,“你要知道,要是大人不在了,孩子根本没法保住。现在咯血控制不住,每多等一分钟,你和孩子都多一分危险。”

 

3小时手术多学科团队协作化解危机

 

825日清晨,林棱被推进手术室。无影灯下,一场缜密的“生命接力”正式开始。

 

 

麻醉医师先为她实施全麻,采用特殊的体位避免子宫压迫下腔静脉,“全程盯着血氧饱和度,既要让她呼吸平稳,又不能影响胎儿供氧”。

产科医生守在旁边,用床旁B超实时监测胎心,“听到胎心一直维持在正常区间,悬着的心才放下一点”。

胸外科团队沿右侧第5肋间开了一个七八公分的小口,胸腔镜探入后,快速吸净胸腔积血,刘继先主任精准找到出血点,“左下肺血管畸形得厉害,还有几个溃疡灶在渗血,必须尽快切除病变肺叶。” 

手术过程中,输血科开通紧急用血通道,保障术中用血;ICU医护提前调试好设备,随时准备接收术后患者。

“整个手术用了3小时11分钟,切除左下肺叶时,我们尽量缩小创伤,”刘继先最让人欣慰的是,胎儿全程平稳,没有出现宫缩或胎心异常。

当林棱从麻醉中醒来,第一时间听到的就是,“手术很成功,孩子很好

术后,她被转入ICU加强监护。术后第二天,她从ICU转回胸外科普通病房,已经能下床轻微活动。

医护人员不仅关注她的生命体征、切口愈合和肺功能恢复,更通过床旁B超每日监测胎儿发育情况。“看到宝宝在肚子里动,我就知道一切值得。”林棱说。 

9月初,她的伤口基本愈合,能自己洗头洗澡,“医生说恢复得比预期好,接下来可以安心安胎,等足月生产”。 

回顾这场生死经历,林棱最感激的是北大深圳医院的多学科团队。在出院前,她趴在病床上,一笔一划写了封感谢信本次手术难度极大,我们心理压力也很大… …是您们用专业的技术、严谨的态度和贴心的关怀,让我在病痛中感受到温暖,也让我对康复充满信心。

 

 

从深夜急诊到生命平稳,从多学科协作到术后守护,这场救治不仅是一次医疗技术的突破,更是北大深圳医院“以患者为中心”服务理念的生动实践。

 

医生提醒:孕期出现反复咳嗽要尽早就诊

 

这场“拆弹”救援,不仅守护了一个家庭的希望,更给所有高危孕妇敲响了警钟:孕期健康不是顺其自然,专业的风险评估和及时的医疗干预,才是母婴平安的最大保障。 

刘继先主任提醒,支气管扩张患者妊娠期因血容量增加、免疫力下降,咯血风险显著升高,约15%-20%的严重咯血可能发生在孕中晚期。

孕期若出现反复咳嗽、咳脓痰或痰中带血,务必尽早就诊,通过高分辨CT明确诊断并制定个体化管理方案。

对于反复大咯血、病变局限的患者,可在病情稳定期评估手术可行性,避免急性发作时危及母婴安全。

扫一扫,手机端浏览